Как диагностировать асептический некроз головки бедра?
Диагностика болезни Пертеса у собак предполагает клиническое и инструментальное исследование.
Клинически оценивается вид хромоты у собак, мышечную массу области тазобедренного сустава, подвижность тазобедренного сустава.
Инструментальные методы включают в себя рентгенографию тазобедренного сустава, артроскопию, компьютерную томографию, УЗИ тазобедренного сустава.
Данные диагностические мероприятия позволяют точно поставить диагноз и дифференцировать от таких заболеваний как вывих надколенника, вывих тазобедренного сустава, дисплазия ТБС, инфекционные артриты, переломы головки и шейки бедра.
Тяжелая форма болезни Пертеса
Диагноз [ править ]
Рентген бедра может предложить и / или подтвердить диагноз. На рентгеновских снимках обычно выявляется уплощенная, а затем фрагментированная головка бедренной кости. Сканирование костей или МРТ может быть полезно при постановке диагноза в тех случаях , когда рентгеновские лучи не являются окончательными. Обычно простые рентгенологические изменения откладываются на 6 недель или более от начала клинического заболевания, поэтому для ранней диагностики проводят сцинтиграфию костей и МРТ. Результаты МРТ более точны: от 97 до 99% против 88-93% при простой рентгенографии. Если необходимы МРТ или сканирование костей, положительный диагноз основывается на пятнистых участках кровоснабжения эпифиза верхней части бедренной кости (развивающейся головки бедренной кости). необходима цитата
Симптомы коксартроза
Заболевание начинается постепенно, часто незаметно для больного
Очень важно уловить первые признаки болезни и не игнорировать их, а сразу же обращаться к врачу.. Но если этого сделать не удалось и в ноге уже произошли серьезные изменения, врач сумеет помочь
Он устранит боль и приостановит прогрессирование болезни
Но если этого сделать не удалось и в ноге уже произошли серьезные изменения, врач сумеет помочь. Он устранит боль и приостановит прогрессирование болезни.
Первые признаки артроза тазобедренного сустава
Начальные симптомы артроза тазобедренного сустава — это легкая утренняя скованность движений и появление болей после длительной прогулки или нахождения в положении стоя. Боли обычно локализуются в области тазобедренного сустава и отдают в пах или ягодицу. Но иногда первыми признаками коксартроза являются болезненные ощущения в ноге от колена и ниже. Они быстро проходят в состоянии покоя.
К сожалению, больные редко обращаются к врачу при появлении таких признаков, чаще они их просто игнорируют и пропускают возможность подавить развитие патологического процесса в самом начале, когда это сделать легче всего.
Явные симптомы артроза тазобедренного сустава
Болевой синдром усиливается, распространяются на паховую область, ягодицу, по наружной и внутренней поверхности бедра спускаются к колену, а затем по голени к стопе. Появляется ограничение движений ноги, особенно, при внутренних поворотах (ротации внутрь) и отведении кнаружи. Боли появляются и независимо от двигательной активности, в том числе ночью. Часто они связаны с переменой погодных условий. Появляется хромота, это заставляет больного ходить, опираясь на трость.
Походка постепенно становится переваливающейся, «утиной». Нога принимает вынужденное положение: слегка подгибается в ТБС, при этом поясница немного выступает вперед, а таз наклоняется вбок, в сторону коксартроза.
Больной начинает замечать, что больная нога становится короче и меньше в объеме, чем здоровая. Явные симптомы болезни не вызывают сомнения, что причиной является поражение ТБС. Именно в таком состоянии больные чаще всего обращаются к врачу.
Для коксартроза характерны боли в паху и по наружной стороне бедра
Опасные симптомы артроза тазобедренного сустава
При появлении следующих симптомов нужно немедленно обращаться к врачу:
- сильные суставные боли, невозможность наступить на ногу, ощущение неустойчивости – признак подвывиха ТБС;
- повышение температуры тела в сочетании с усилением болей в ноге – признак суставного воспалительного процесса; если температура высокая, то возможно, присоединилась инфекция;
- больная нога стала значительно короче здоровой, невозможны отведения в сторону и поворот внутрь – признак утраты значительной части функции сустава.
Прогноз
Прогноз на выздоровление на болезни Пертеса обычно хороший. Во многом прогноз зависит от типа лечения и степени изменения головки бедра. При терапевтическом типе лечения прогноз на восстановление нормальной функции сустава относительный, по литературным данным из 89 собак лишь у 19 была нормальная функция сустава.
При выборе хирургического лечения и выполнение всех реабилитационных мероприятий- прогноз на восстановление нормальной функции сустава достигает до 90% от общего числа прооперированных собак.
Автор статьи: ветеринарный врач-хирург, специалист по травматологии, ортопедии и неврологии Маслова Екатерина Сергеевна
Похожие заболевания
Заболевания тазобедренных суставов различной этиологии часто имеют похожую клиническую картину: внезапно или постепенно появляется хромота, собака не наступает на лапу, меняется походка.
Артрит. Различают несколько типов заболевания, разделяя их по первопричине, среди них:
- Травматический. Вследствие длительных или больших нагрузок, при возникновении травмы возникает растяжение мышечных волокон, окружающих сустав. Образуется гематома, но при своевременном лечении, такой тип артрита проходит. В более тяжелом случае повреждается целостность суставной капсулы. Жидкость вытекает, образуя отек. Чаще всего процесс сопровождается развитием инфекции и травматический артрит переходит в гнойную форму.
- Гнойный. Заболевание вызвано стафилококковой и стрептококковой инфекцией. К симптомам присоединяется повышенная температура тела, болезненная припухлость сустава. В этом случае не обойтись без курса антибиотиков.
- Ревматодный. Аутоиммунное заболевание, которое появляется в процессе попыток организма устранить бактерии, похожие по структуре на костные и хрящевые клетки. В результате страдают собственные ткани.
Симптомы везде схожи: возрастная группа риска (собаки старше 6 лет), быстрое уставание на прогулках, затруднение при перемещении по лестнице, болезненность при мануальном осмотре, снижение активности.
Артроз. С возрастом, вследствие продолжительных нагрузок, изнашивается окружающий головку хрящ. Ухудшается кровообращение, уменьшается содержание кальция. При запущенном артрозе наблюдается остеопороз костей. Предрасположенностью обладают животные с повышенным весом, недолеченным артритом, перенесшие травмы.
Дисплазия тазобедренных суставов. Заболевание полигенного характера. Заключается в том, что вертлужная впадина, куда вставляется эпифиз бедренной кости, перестает плотно его облегать, становится плоской.

Головка изменяет форму и может принимать нехарактерное положение, травмируя хрящ. Появляется хромота, болезненные ощущения при движении.
Внешне проявляется переваливающимися с боку на бок движениями, при ускорении собака использует «заячий бег», отталкиваясь двумя задними лапами.
После сна бывает скованность, скуление при изменениях положения тела. Диагноз ставится после рентгенологического исследования, проведенного строго под седацией. А также после теста Ортолани. В зависимости от стадии возможно хирургическое или консервативное лечение.
Степени хромоты
Классифицировать хромоту у собак можно и по степени тяжести течения болезни, от того насколько болезненно проявляется хромота и какие происходят патологические процессы расстройства функции конечностей, выделяют разные степени хромоты.
Обычно выделяют три степени: слабую первую степень, среднюю вторую и сильную третью степень.
Первая степень — это слабая хромота, при которой животное может ненадолго опираться на больную лапу и переносить на неё свой вес, либо наблюдается аритмия движения больной лапы. Животное как бы бережет лапу, старается использовать ее минимальное количество времени, чтобы не травмировать дальше.
Вторая средняя степень наблюдается при частичной опоре на больную лапу или вынесении ее вперёд. Использование лапы дается животному уже с трудом, и собака старается поджимать или выносить вперед больную конечность.
Третья самая сильная степень хромоты характеризуется неиспользованием больной конечности, при ходьбе животное совсем не может опираться на больную лапу и с трудом двигает ей. Передвижение будет сильно затрудненно, и болезненные симптомы требуют немедленного оказания помощи питомцу.
Диагностика
Выявлением симптомов и подбором лечения занимается травматолог-ортопед. Для постановки диагноза и определения степени заболевания он использует:
- опрос: выслушивание жалоб пациента, выявление факторов риска (травмы, заболевания, наследственность и т.п.);
- осмотр: оценка подвижности конечности, определение зон наибольшей болезненности;
- рентгенография: рентгеновский снимок дает возможность оценить состояние костей и хряща, размер суставной щели, наличие и расположение костных разрастаний; чтобы разглядеть нужные детали более тщательно, исследование дополняется КТ (компьютерной томографией);
- лабораторная диагностика: общий анализ крови позволяет выявить признаки воспалительного процесса, биохимический – отметить некоторые факторы риска, например, уровень мочевой кислоты;
- МРТ (магнитно-резонансная томография): позволяет оценить состояние не только костей и хряща, но и мягких тканей: костей, связок, мышц, суставной капсулы и т.п.;
- пункция сустава

Экспертное мнение врача
Исаджанян Ашот Дереникович
Директор, главный врач, врач-ортопед-травматолог
При необходимости проведения дифференциальной диагностики с другими болезнями, а также оценки сопутствующих патологий, назначаются дополнительные анализы, инструментальные обследования, консультации узких специалистов.

Лечение и восстановление
В зависимости от стадии заболевания, для лечения больной собаки используют медикаментозную терапию или хирургическое вмешательство. К первому варианту прибегают на начальных стадиях, а ко второму – при наличии серьезных патологических изменений в тазобедренном суставе.
Медикаментозная терапия
Если необратимые изменения еще не произошли, то лечение строится на снижении болевого синдрома, купировании воспаления и стимулировании роста здоровой костно-хрящевой ткани. Для этого используют:
-
анальгетики;
-
противовоспалительные;
-
хондропротекторы.
Все препараты необходимо принимать строго по инструкции
Помимо дозировки, важно соблюдать и время приема, так как некоторые вещества не подходят для голодного желудка и раздражают его слизистую.. “
“
Медикаментозная терапия эффективна только при сохранении естественной формы головки бедра и при отсутствии перелома.
Хирургическое вмешательство
Хирургическое вмешательство более эффективно. Оно исключает возникновение рецидивов в будущем и подходит даже при полном разрушении головка бедра.
В зависимости от способа проведения, операции делятся на 2 вида:
-
Резекционная артропластика. Предполагает частичное удаление пораженной области с последующим прокладыванием ягодичной мышцы под вертлужную впадину – выемку на наружной поверхности тазовой кости. Возвращает двигательную функцию лишь частично и только при отсутствии выраженной атрофии.
-
Эндопротезирование. Позволяет полностью восстановить двигательную функцию с помощью установки протеза, но требует больших денежных затрат.
Из-за более низкой стоимости в большинстве случаев используют резекционную артропластику. Несмотря на свои недостатки, данный вид операции подходит для животных любого возраста и не требует долго восстановления. После нее швы снимают уже через 9 дней.
Физиотерапия
Главные задачи физиотерапии – ускорение восстановления больной конечности, предупреждение дальнейшей атрофии ее мышц и восстановление двигательной функции. В реабилитационный период прооперированному питомцу потребуется пройти курс лечебных массажей и гимнастики с использованием утяжелителей. Также очень хороший эффект дает плавание, так как этот вид спорта задействует сразу все группы мышц.
Уход за животным
При медикаментозном лечении собаку помещают в клетку на 4-6 месяцев. Это необходимо для достижения полного обездвиживания, так как любая активность может спровоцировать прогрессирование болезни. Кратковременное выпускание из клетки допускается только для справления нужды и лишь в том случае, если питомец не приучен к пеленке.
Ежемесячно или чаще необходимо делать рентген больной конечности. При нормализации состояния можно вернуться к обычной жизни, а при ухудшении придется прибегнуть к операции.
Стоит отметить, что такой радикальный способ лечения редко поддерживается хозяевами. При длительном нахождении в клетке у животного могут развиться проблемы с психикой. Именно поэтому гораздо гуманнее и эффективнее сразу согласиться на хирургическое вмешательство. В этом случае после снятия швов достаточно просто ограничивать активность своего любимца на протяжении 1-2 месяцев.
Прогнозы
Прогноз на выздоровление зависит от стадии болезни и выбранного способа лечения. При проведении операции двигательная функция восстанавливается в 90% случаев, а болевой синдром полностью исчезает. При медикаментозной терапии положительные результаты были зафиксированы только у 25% собак.
Немалую роль играет и регулярное выполнение назначенных ветеринаром упражнений. Хозяева часто жалеют своих любимцев, пугаясь появления любых болезненных ощущений. По этой причине проведение занятий лучше доверить ветеринару-реабилитологу.
Заключение
Специфической профилактики против патологии не существует, так как механизм ее развития изучен недостаточно. Несмотря на это, заводчики способны сократить количество больных щенков в новых поколениях, исключив из разведения питомцев с подтвержденной болезнью.
Статья носит информационный характер. Обратитесь к ветеринару!
Причина [ править ]
Болезнь Пертеса — это заболевание тазобедренного сустава у детей, вызванное нарушением притока крови к головке бедренной кости. Из-за отсутствия кровотока кость погибает ( остеонекроз или аваскулярный некроз ) и перестает расти.
Легг полагал, что причиной было нарушение кровоснабжения эпифиза бедренной кости, Кальве полагал, что это рахит, а Пертес предположил, что инфекция, которая может вызывать дегенеративный артрит, приводит к заболеванию LCP. В настоящее время вовлечен ряд факторов, включая наследственность, травму, эндокринную дисфункцию, воспаление, питание и измененную гемодинамику кровообращения.
Факторы риска не ограничиваются замедленным и непропорциональным ростом, низкой массой тела при рождении, задержкой скелетного созревания, низким ростом, системными гормональными изменениями и низким экономическим индексом. Хотя никто не установил причину болезни Пертеса, известно снижение притока крови к суставу.
Предполагается, что заболевание включает в себя слишком раннее сужение или даже блокировку артерии ligmentum teres femoris, не позволяя пройти время, когда медиальная огибающая бедренная артерия вступит во владение. Медиальная огибающая бедренная артерия является основным источником кровоснабжения головки бедренной кости. Заболевание LCP представляет собой сосудистое ограничительное состояние идиопатической природы. Такие симптомы, как уродство, уплощение и коллапс головки бедренной кости, обычно возникают в возрасте от четырех до десяти лет, в основном у детей мужского пола кавказского происхождения. Дети, страдающие заболеванием LCP, часто демонстрируют неравномерную походку и ограниченный диапазон движений, а также испытывают легкую или сильную боль в области паха. Например, ребенку может быть шесть лет в хронологическом порядке, но, возможно, он вырос всего на четыре года с точки зрения костной зрелости. Затем ребенок может заниматься деятельностью, подходящей для шестилетнего ребенка, но, не обладая прочностью костей более старшего ребенка, эти действия могут привести к уплощению или перелому тазобедренного сустава. Генетика, по-видимому, не является определяющим фактором, но дефицит факторов крови с антикоагулянтными свойствами, используемых для рассеивания тромбов, может привести к закупорке сосудов, кровоснабжающих сустав. Дефицит протеина C и протеина S, которые также действуют как антикоагулянты крови, также могут существовать; если бы это было так, их недостаток мог бы вызвать образование сгустка в артерии ligamentum teres femoris и затруднить кровоснабжение головки бедренной кости. Однако никаких доказательств этого не обнаружено; За прошедшие годы было опубликовано множество теорий, но ни одна из них не выдержала испытания профессиональными исследованиями. необходима цитата
Клиническая картина
Продолжительность заболевания составляет от 1-го года до 5-ти лет и зависит от возраста ребенка, у которого возникло заболевание. Наиболее быстро заболевание прогрессирует у детей меньшей возрастной группы.
Выделяют 5 стадий развития болезни Пертеса:
1. Начальная стадия, которая характеризуется возникновением асептического некроза губчатой субстанции эпифиза бедренной кости (при своевременно начатом адекватном лечении является обратимой).
2. Стадия уплотнения и деформации эпифиза.
3. Стадия фрагментации – характеризующаяся прорастанием очага некроза соединительной тканью, сосудами и нервными окончаниями.
4. Репаративная стадия – в очаге некроза происходит формирование новых костных структур.
5. Стадия исхода, которая характеризуется формированием архитектоники вновь сформированных костных структур, приближенной к нормальному строению кости.
Заболевание нередко начинается с возникновения болей в области бедра или колена и нестойкой хромоты, которая нарастает при физической активности и в значительной мере уменьшается после отдыха. При этом ребенок некоторое время пытается удерживать бедро в спокойном расслабленном состоянии насколько это возможно. В начальной стадии заболевания возникновение хромоты обусловлено усилением боли при физической активности и постепенно прогрессирующей контрактуры тазобедренного сустава, на более поздних стадиях – из-за подвывиха бедра и ослабления мышц ягодичной области. Возникает некоторое ограничение движений в тазобедренном суставе, повышенная чувствительность или болезненность при пальпации области тазобедренного сустава. Боль в тазобедренном суставе усиливается при отведении и ротации бедра, в случае прогрессирования заболевания формируется наружно-ротационная и сгибательно-приводящая контрактура бедра, возникают укорочение пораженной конечности, гипотрофия мышц бедра и ягодичной области. При выраженной деформации головки бедренной кости развивается клиническая симптоматика коксартроза с выраженным болевым синдромом и значительным нарушением функции тазобедренного сустава.
Диагностика и анализы
Симптоматику патологии легко перепутать с травмой, вывихом, артритом, артрозом, дисплазией и другими заболевания опорно-двигательного аппарата. Именно поэтому постановка диагноза на основании визуального осмотра и пальпации невозможна.
Основным исследованием выступает рентген
При его проведении очень важно сохранять неподвижность, поэтому животному делают общий наркоз или седацию. На основании полученного снимка ветеринар определяет не только сам факт патологии, но и ее стадию.
Самый точный вид исследования – КТ (компьютерная томография). С ее помощью болезнь удается выявить даже на начальной стадии, но нужная аппаратура есть далеко не во всех ветеринарных клиниках.
Что это за синдром?
Болезнь Легга-Кальве-Пертеса. Так называют асептический некроз головки бедренной кости. Впервые был описан шведским ортопедом в 1909 году, касаемо заболевания тазобедренного сустава у детей.
По именам, изучавших эту болезнь врачей в период с 1909 по 1910 гг., Артура Легга, Жака Кальве и Джорджа Пертеса, было принято название. В 1937-1938 гг. ветеринары Шнелле и Мольтцен-Нильсен, описали ту же проблему у собак, с тем исключением, что у собак эта болезнь могла поражать и плече-лопаточное сочленение.

Суть болезни заключается в нарушении кровоснабжения эпифиза бедренной кости, что приводит к ее постепенному отмиранию. Лишенная питания костная ткань становится хрупкой, разрушается, деформируя окружающий хрящ.
Эпидемиология болезни Пертеса
В среднем болезнь Пертеса встречается у одного на 1200 детей. Чаще у мальчиков, чем у девочек. Так, в европейских странах и в России мальчики болеют в четыре раза чаще девочек. Вместе с рассекающим остеохондритом (Osteochondrosisdissecans) это наиболее частый вид асептического некроза костной ткани у детей.Общая динамика заболеваемости составляет пять случаев на сто тысяч населения в год.
Чаще поражение головки бедренной кости носит односторонний характер, но в 15 процентах случаев диагностируется двусторонний некроз.
В каком возрасте чаще встречается болезнь Пертеса?
Болезнь Пертеса проявляется в возрасте от 5 до 9 лет. Значительно реже – к наступлению половой зрелости. Столь же редка болезнь Пертеса у детей двух-трехлетнего возраста. В более раннем возрасте она вообще не выявляется.
Этиология болезни Пертеса
Нарушение кровотока в бедренных сосудах – наиболее вероятная гипотетическая (но окончательно недоказанная) причина некроза шейки бедренной кости. Из-за нарушенного кровотока костная ткань бедренной головки получает недостаточно кислорода и питательных веществ – это вызывает некроз. Кровоток может нарушаться из-за пороков в строении сосудов.
Но риск развития болезни не исключен и при нормальных сосудах, с хорошим кровотоком. Поэтому, с одной стороны, принято говорить об идиопатическом («беспричинном») характере болезни Пертеса. С другой стороны, выдвигаются и другие гипотезы о ее происхождении. Среди них:
- нарушения гормонального баланса в организме;
- чрезмерная нагрузка на кости и суставы ног;
- генетические причины (риск возникновения болезни Пертеса оценивается как повышенный, если у кого-то из близких родственников она уже имеется).
Симптомы и стадии болезни Пертеса
На ранней стадии – воспаление и отечность пораженного сустава. Ранняя симптоматика очень похожа на ревматизм.
На дальнейшей стадии развивается надлом бедренной головки, нередко с ее частичным выпадением из вертлужной впадины тазовой кости.
Следующая стадия – патологическая деформация головки, передающаяся также вертлужной впадине. Ощущается ограниченная подвижность сустава. Нога с пораженной стороны становится укороченной. Предопределена также ранняя отшлифовка внутренних поверхностей тазобедренного сустава.
Развитие симптомов сопровождается хромотой, болями в бедренном суставе. Боли отдают также в колено.
Диагностика болезни Пертеса
При возникновении (хотя бы даже частичном) данной симптоматики у ребенка в возрасте от двух до двенадцати лет следует сразу же обратиться к врачу. Болезнь Пертеса надежно диагностируется с помощью рентгена. Рентгеновские снимки выявляют типичные нарушения костной ткани. Выявляются и сопутствующие осложнения (если они есть), способные ухудшить прогноз на протекание болезни и ее лечение. Среди таких осложнений:
- латерализация (переход заболевания на другую сторону);
- поражение метафиза (прилегающего к головке участка кости);
- известкование головки;
- горизонтальное расположение головки (в нормальном виде она должна быть направлена диагонально вверх от трубки бедренной кости).
Необходимы также дополнительные диагностические обследования для определения степени и характера поражения хрящевой ткани сустава.
Современные диагностические методики все чаще базируются на УЗИ. Инновативная ультразвуковая аппаратура с цифровой расшифровкой сигналов и высоким разрешением позволяет детальней, чем рентгеновский снимок, оценить состояние сустава.
В ходе диагностики должны быть проведены тщательные дифференцирующие оценки, чтобы отсеять подозрения на круг заболеваний со схожей симптоматикой:
- асептический или бактериальный коксит;
- смещение эпифиза головки бедра;
- дисплазия тазобедренного сустава;
- множественная эпифизарная дисплазия;
- спондиоэпифизарная дисплазия;
- майерова дисплазия;
- гипотериоз (недостаток гормонов щитовидной железы);
- опухолевые образования.
Лечение болезни Пертеса
Консервативное лечение болезни Пертеса
На ранних стадиях достаточно консервативного лечения: применение особых шин или ортезов («ножных корсетов»), ремней для разгрузки пораженного сустава. С этой же целью проводятся гипсования выборочных зон таза и бедра. На время лечения ребенку может быть противопоказана ходьба (передвижения в кресле-каталке).
Хирургическое лечение болезни Пертеса
На продвинутой стадии заболевания требуется хирургическое лечение:
- Сальтерова остеотомия;
- корректирующая остеотомия;
- тройная тазовая остеотомия.
Диагностика — как не пропустить болезнь?
Наиболее часто проблема выявляется после проведения стандартной и простой процедуры — рентгенографии тазовых костей и суставов. Делают снимки в обычном положении лежа на спине, а также со сгибанием ног — в «позе лягушки». Современные аппараты позволяют зафиксировать происходящие изменения на начальных этапах, но все-таки большую информативность дают МРТ и КТ.
Диагноз ставится на основании полученных данных, обязательно определяется стадия заболевания. Это поможет подобрать правильное лечение. Выделяют следующие стадии:
| Стадия (степень) болезни Пертеса | Характеристика |
| Скрытая | Имеются незначительные изменения в костной структуре, симптомы минимальны. |
| Первая | Омертвевшие ткани губчатого вещества кости проникают в костный мозг |
| Вторая | Возникает импрессионный перелом, деформация головки бедра |
| Третья | Головка кости уплощается, кость частично рассасывается, нога укорачивается. Ходить становится сложно |
| Четвертая | Головка кости заменяется соединительной тканью, боль уменьшается, но подвижность ноги утрачивается |
При необходимости, ребенку делают артроскопию — инвазивное обследование, позволяющее изучить состояние тазобедренного сустава и удалить некротизированные ткани.
Признаки и симптомы [ править ]
Заболевание чаще всего встречается у детей в возрасте от 4 до 10 лет. Общие симптомы включают боль в бедре, колене или лодыжке (поскольку патология бедра может вызывать боль, которая ощущается в нормальном колене или лодыжке) или в паху; эта боль усиливается при движении бедра или ноги, особенно при наружном вращении бедра (колено согнуто на 90 °, что приводит к выводу голени в сторону от центра тела). Диапазон движений уменьшается, особенно при отведении и внутреннем вращении, и пациент хромает. Боль обычно слабая. Атрофия мышц бедра может возникнуть из-за неиспользования и неравной длины ног. В некоторых случаях некоторые действия могут вызвать сильное раздражение или воспаление поврежденной области, включая постоянное стояние, ходьбу, бег, стояние на коленях или наклоны в течение длительного периода времени. В случаях тяжелого остеонекроза бедренной кости:боль обычно хроническая, пульсирующая, усиливающаяся при физической активности.необходима цитата
Первыми признаками являются жалобы ребенка на болезненные ощущения, которые часто воспринимаются как боли роста , хромота или другая защита сустава, особенно при усталости. Боль обычно возникает в бедре, но также может ощущаться в колене ( отраженная боль ). В некоторых случаях боль ощущается в незатронутом бедре и ноге необходима цитата из-за того, что дети отдают предпочтение своей травмированной стороне и переносят большую часть своего веса на «здоровую» ногу. Это преимущественно болезнь мальчиков (соотношение 4: 1). Обычно диагноз Пертеса ставят в возрасте от 5 до 12 лет, хотя его ставят уже в 18 месяцев. Обычно болезнь проявляется только в одном бедре, но двусторонняя болезнь Пертеса наблюдается примерно у 10% детей с диагнозом.
Прогноз выздоровления
Благоприятный или неблагоприятный исход лечения болезни Легга-Кальве-Партеса у собаки зависит от двух факторов: стадии некроза костной ткани, на которой была диагностирована патология, а также правильного назначения терапии и её осуществления (качество проведённой операции и чёткое выполнение владельцем рекомендаций относительно режима иммобилизации).
Если в итоге тазобедренный сустав перестаёт болеть и животное сохраняет возможность полноценного передвижения, считается, что лечение имело благоприятный исход.
О неблагоприятном результате говорят в том случае, если дегенеративное изменение сустава прогрессирует: у собаки начинается хромота и хронический болевой синдром.

В целом, если учитывать, что заболеванию в основном подвержены представители мелких и карликовых пород, выполняющих функцию декоративных, «диванных» собачек, от которых не требуется ни высокой выносливости, ни готовности выполнять сложные физические упражнения (бег, прыжки, плавание, перетаскивание тяжестей и пр.), в большинстве случаев вероятность благоприятного исхода лечения аваскулярного некроза головки бедренной кости очень высокая.
Знаете ли вы? В 1979 г. на состязаниях в Ботелле (США, штат Вашингтон) самка ньюфаундленда со сложным именем Барбара Алленс Дарк Ханс, весящая всего 44 кг, протащила по плоской поверхности груз весом в 2,289 т, чем завоевала титул самой сильной собаки в мире в своей весовой категории.
Болезнь Легга-Кальве-Пертеса может развиваться в молодом возрасте как у людей, так и у собак. Эта патология не является смертельной, но при отсутствии своевременного лечения приводит к значительному ограничению двигательной функции и связанному с этим сильному болевому синдрому. Причины возникновения заболевания до конца не изучены, но в первую очередь в группу риска входят мелкие и карликовые породы, имеющие склонность к замедленному росту, искривлению конечностей и некоторой недоразвитости сосудов, снабжающих кровью тазобедренный сустав.
Диагностика заболевания
Опытный ветеринар диагностировать болезнь Кальве-Пертеса может на основании осмотра, пальпации тазобедренного сустава и инструментальных исследований.
Если у пса длительное время болит лапа, то он становится вялым и угнетенным, а при осмотре отведение больной конечности назад причиняет ему сильную боль.

Для подтверждения диагноза собаке делают рентген, во время которого она должна лежать строго на спине с отведенными задними лапами. Так как такое положение провоцирует боль в пораженном бедре и собаке трудно сохранять его, то для получения качественного снимка пса могут ввести в кратковременный наркоз.
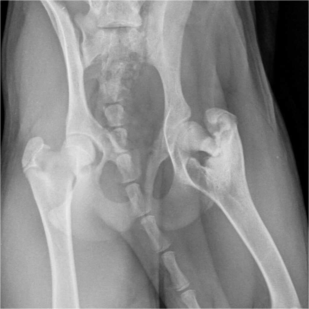
На рентгенографическом изображении хорошо видны как первоначальные признаки болезни, так и более поздние. В первом случае снимок покажет уплотнение костной ткани и изменение формы головки бедра, а во втором видны костные разрастания на головке, остеоартроз, а в самом тяжелом случае — перелом шейки бедра или ее разрушение.
Но самым лучшим способом получить точные сведения о болезни Пертеса является проведение компьютерной томографии. В результате этого исследования можно увидеть признаки заболевания на самой ранней стадии, что поможет начать лечение как можно быстрее. Однако этот метод диагностики довольно дорог и проводится не во всех клиниках.
Этиопатогенез
До настоящего времени единое мнение о происхождении развитии болезни отсутствует. Имеется предположение, что прекращение или значительное уменьшение кровоснабжения обусловлено чрезмерным скоплением синовиальной жидкости в полости сустава.
Заболевание развивается при имеющихся у ребенка предрасполагающих (врожденных) и пусковых (приобретенных) факторов. Предрасполагающим фактором может являться врожденное недоразвитие различной степени выраженности поясничного отдела позвоночника, что сопровождается нарушением иннервации тазобедренного сустава и, как следствие, нарушением его кровообращения.
К приобретенным факторам относится прекращение кровоснабжения головки бедренной кости при воспалении или при незначительной травме тазобедренного сустава, что приводит к сдавлению немногочисленных и функционально несостоятельных сосудов. Воспаление сустава (преходящий синовит) возникает при гематогенном распространении инфекции из очагов инфекции, локализованных в других анатомических областях: к примеру, из ротоглотки при простудных заболеваниях.
При несущественной травматизации тазобедренного сустава, на которую зачастую не обращают внимание родители и ребенок, может возникнуть прекращение кровообращения и асептический некроз тканей головки бедренной кости. Имеется предположение, что и другие факторы могут оказывать определенное влияние при возникновении болезни Пертеса
Например, было замечено, что у родившихся мальчиков весом до 2,25 кг заболевание регистрируется в 5 раз чаще – в сравнении с новорожденными, вес которых превышал 3,6 кг. Помимо того, имеется семейная предрасположенность к болезни Пертеса
Имеется предположение, что и другие факторы могут оказывать определенное влияние при возникновении болезни Пертеса. Например, было замечено, что у родившихся мальчиков весом до 2,25 кг заболевание регистрируется в 5 раз чаще – в сравнении с новорожденными, вес которых превышал 3,6 кг. Помимо того, имеется семейная предрасположенность к болезни Пертеса.
Ткань верхней полусферы головки беда, в которой развился асептический некроз, теряет устойчивость к механической нагрузке, из-за чего даже при обычной повседневной нагрузке (ходьба, бег, прыжки) возникает ее постепенная деформация. Выраженность деформации напрямую зависит от размеров и локализации очага асептического некроза в эпифизе и может быть от практически не диагностируемой деформации на рентгенограмме до грубой «грибоподобной» или «седловидной» формы.






























